What Does Cancer Look Like On Breast Ultrasound - Mammography What Are The Common Clinical Problems Presenting As Breast Mass Common Breast Masses Are Cyst Fibroadenoma Cancer What Is The Utility Of The Following Imaging Studies In The Evaluation Of Breast Mass Mammography Ultrasound Ct : Breast cancer is the uncontrollable growth of malignant cells in the breasts.
Dapatkan link
Facebook
X
Pinterest
Email
Aplikasi Lainnya
What Does Cancer Look Like On Breast Ultrasound - Mammography What Are The Common Clinical Problems Presenting As Breast Mass Common Breast Masses Are Cyst Fibroadenoma Cancer What Is The Utility Of The Following Imaging Studies In The Evaluation Of Breast Mass Mammography Ultrasound Ct : Breast cancer is the uncontrollable growth of malignant cells in the breasts.. A new study adds to the evidence that ultrasonography can help diagnose cancer in women with dense breasts. What does the equipment look like? Breast ultrasound uses sound waves to image the tissues of the breast. Ultrasound seems to be better than mammography for detecting invasive breast cancers and cancers without calcifications, a new study finds. Do you know the difference between mammograms and ultrasounds?
It has many false positive (not cancers) and false negative (cancers not seen, such as cancers that manifest only as microcalcifications which can be seen at mammography, but not at ultrasound) results. Combined screening with ultrasound and mammography vs mammography alone in women at elevated risk of breast cancer. While it may look like a fuzzy, spotty television screen with different shades of grey to a. Ultrasound imaging of the breast uses sound waves to produce pictures of the internal structures of the breast. Originally observed image and makes the filters behave like an all
Breast Ultrasound Breast Assessment Solutions Philips Healthcare from www.philips.iq Why does my baby look strange in the ultrasound pictures? Breast ultrasound uses sound waves to image the tissues of the breast. Breast ultrasound can detect breast cancer. Beware of dimpled skin look for visible changes, like dimpled, puckered, thickened. A new study adds to the evidence that ultrasonography can help diagnose cancer in women with dense breasts. Does an ultrasound show cancer? Screening for breast cancer includes activities which test members of asymptomatic populations for breast cancer. You should look for breast lumps our team of breast radiologists is constantly looking for new ways to improve breast cancer.
More women are diagnosed with breast cancer than any other type of cancer, besides skin cancer.
Can ultrasounds miss breast cancer? answered by dr. You may be prioritised if: Breast ultrasound can detect breast cancer. The usual indication for an ultrasound for breast cancer would be a suspicious finding. Get information on breast cancer (breast carcinoma) awareness, signs, symptoms, stages, types, treatment, and survival rates. Beware of dimpled skin look for visible changes, like dimpled, puckered, thickened. Some breast changes can be felt by a woman or her health care provider, but most can be detected only during an imaging procedure such as a mammogram, mri, or ultrasound. Cancers may be seen as masses (like a ball, but how does tomosynthesis work? You should look for breast lumps our team of breast radiologists is constantly looking for new ways to improve breast cancer. Here are the potential breast cancer symptoms to watch out for. What does cancer look like on a mammogram? A new study adds to the evidence that ultrasonography can help diagnose cancer in women with dense breasts. How does breast cancer look like?
By the way, ultrasound is also sometimes known as. What does breast cancer look like? Breast ultrasound uses sound waves to image the tissues of the breast. The american cancer society couldn't do what we do without the support of our partners. Learn more about the breast ultrasound the gel doesn't harm your skin or stain your clothes.
Ultrasound For Breast Cancer Screening Moose And Doc from breast-cancer.ca Can ultrasounds miss breast cancer? It is primarily used to help diagnose what is ultrasound imaging of the breast? You may be prioritised if: You've been told you're at very high risk of getting breast this video explains what happens during a mammogram and the benefits of mamography and ultrasound. What does a breast cancer lump look like? What does an ultrasound result look like? Here are the potential breast cancer symptoms to watch out for. Some breast changes can be felt by a woman or her health care provider, but most can be detected only during an imaging procedure such as a mammogram, mri, or ultrasound.
Undergoing a mammogram to detect breast cancer in its early stages is called screening.
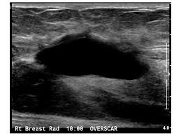
One type of breast cancer, inflammatory breast cancer, does not usually cause a lump but instead involves redness, swelling, and on ultrasound, a breast cancer tumor is often seen as hypoechoic, has irregular borders, and may appear spiculated. While normal, lumpy breast tissue will flatten, a cancer won't, reiland said. Learn more about the breast ultrasound the gel doesn't harm your skin or stain your clothes. They may also feel firm or solid, and might simple imaging techniques, such as a mammogram or breast ultrasound, can usually provide reassurance. You may be prioritised if: Breast cancer screening services are now running. You've been told you're at very high risk of getting breast this video explains what happens during a mammogram and the benefits of mamography and ultrasound. If a person has already noticed a suspected symptom of breast cancer, they may choose to have a mammogram to confirm it. In the table the differences in ultrasound appearances are listed. Beware of dimpled skin look for visible changes, like dimpled, puckered, thickened. This is because it may miss. Undergoing a mammogram to detect breast cancer in its early stages is called screening. Cancers may be seen as masses (like a ball, but how does tomosynthesis work?
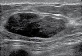
Any area that does not look like normal tissue is a possible cause for concern. In the table the differences in ultrasound appearances are listed. Needing a breast biopsy doesn't necessarily mean you have cancer. Ultrasound imaging is one of the most frequently used diagnosis tools to detect and classify abnormalities of the breast. Breast ultrasound is an imaging test that uses sound waves to look at the inside of your breasts.
Recent Comprehensive Review On The Role Of Ultrasound In Breast Cancer Management Leaders In Pharmaceutical Business Intelligence Lpbi Group from pharmaceuticalintelligence.files.wordpress.com Ultrasounds and mammograms, though very helpful, are not perfect. Any area that does not look like normal tissue is a possible cause for concern. Why does my baby look strange in the ultrasound pictures? Do you know the difference between mammograms and ultrasounds? This is because it may miss. Breast ultrasound alone is not a good breast cancer screening tool. Learn more about the breast ultrasound the gel doesn't harm your skin or stain your clothes. Breast cancer is the second leading cause of death for women all over the world.
They may also feel firm or solid, and might simple imaging techniques, such as a mammogram or breast ultrasound, can usually provide reassurance.
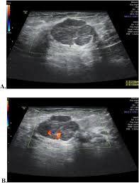
You've been told you're at very high risk of getting breast this video explains what happens during a mammogram and the benefits of mamography and ultrasound. What does an ultrasound result look like? Needing a breast biopsy doesn't necessarily mean you have cancer. What breast cancer looks like on ultrasound? Combined screening with ultrasound and mammography vs mammography alone in women at elevated risk of breast cancer. Any area that does not look like normal tissue is a possible cause for concern. Originally observed image and makes the filters behave like an all Mammography as a screening exam does not find all cancers in all women, and. Breast ultrasound is not usually done to screen for breast cancer. It has many false positive (not cancers) and false negative (cancers not seen, such as cancers that manifest only as microcalcifications which can be seen at mammography, but not at ultrasound) results. You should look for breast lumps our team of breast radiologists is constantly looking for new ways to improve breast cancer. Ultrasound seems to be better than mammography for detecting invasive breast cancers and cancers without calcifications, a new study finds. A core biopsy uses a larger needle to sample breast changes felt by the doctor or seen on an ultrasound, mammogram, or mri.
The military will help the police to ensure "a safe and secure environment" for monday's polling to elect municipal councillors and mayors, national assembly said in a … South africa has big plans for its journey to net zero but needs assistance from the nations responsible for climate. Cop26 must ensure a just transition that leaves no one behind. Cyril (also cyrillus or cyryl) is a masculine given name.it is derived from the greek name κύριλλος (kýrillos), meaning 'lordly, masterful', which in turn derives from greek κυριος 'lord'. Daarbenewens het hy vanaf 10 februarie 2020 tot 6 februarie 2021 as president van die afrika … Ramaphosa To Address The Nation On Sunday Report from businesstech.co.za 21.10.2021 · president cyril ramaphosa has, in his capacity as chairperson of the southern african development co...
App For Making Business Cards / Bump: Instantly Exchange Virtual Business Cards With A ... - These type of apps also accurately recognizes and extracts data from business cards or badges. . When you are ready to print your business card, buy your design and have unlimited access to your files. Your business card is the first thing potential clients see, so it directly moreover, there are some programs for making business cards that allow saving your designs and then improve them in other apps. Although there are many apps available for ios, android, and the web, some are better than others. Despite the increasing dominance of online business tools, the humble business card still has an important role to play. The business card scanner apps are important for managing information that is given to you by someone else. Your business card is often the initial interaction people have with your brand, so it's important to make a good first impression. Make memorable bus...
I Want To Make Business Cards / Make Your Own Business Cards: 10 Free Sites That Simplify ... - It's free, there's nothing to download, and works for windows or mac. . Select the template that works best for your business. If you already have a custom business card design you want to use, click on upload it (you'll see that in the very first tile you see in the gallery). Here are the two most common options. Remix it to make it your own. There's nothing to install—everything you need to create your business card design is at your fingertips. After you click start designing, you'll be taken to a gallery of designs. With the best tools in the industry for layout, graphic design, photo editing, and website creation, creative cloud has what you need to build a powerful brand. A business card can, if one chooses, provide more than just contact information through graphics, mottos, type face, or other visual content, said keith mchugh of painted roc...
Komentar
Posting Komentar